新潟市西区の歯医者、新潟西歯科クリニック|症例紹介

当院では、院長をはじめとした経験豊富なドクターによる幅広い治療が可能です。

症例紹介

インレー(詰め物)

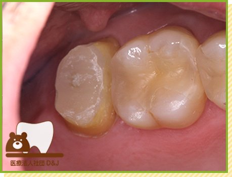
症例1ハイブリットセラミックインレー

左下6番 治療前

症例1 ハイブリットセラミックインレー 治療前の写真

左下6番 治療後

症例1 ハイブリットセラミックインレー 治療後の写真

右上5番 治療前

症例1 ハイブリットセラミックインレー 治療前の写真

右上5番 治療後

症例1 ハイブリットセラミックインレー 治療後の写真

47歳 女性

治療内容
劣化していた詰め物を取り除き、ハイブリッドセラミック素材のインレーで修復を行いました。見た目やフィット感の改善を目的とした処置です。
治療期間
1本2~3週間
費用
自費 ハイブリットセラミックインレー:33,000円(税込)(R5.2月時点)
  • その他の治療の費用は含まれておりません。
リスク・副作用
強い力が加わると割れる可能性があります。また、噛み合わせや歯ぎしりの影響で脱離することがあります。
担当医
立木先生

症例2イーマックスインレー

治療前

症例2 イーマックスインレー 治療前の写真

治療後

症例2 イーマックスインレー 治療後の写真

22歳 男性

治療内容
古くなった詰め物を取り除き、e.max(イーマックス)素材のインレーで歯を修復しました。見た目と適合性の改善を目的とした処置です。
治療期間
2~3週間
費用
自費 イーマックスインレー:49,500円(税込)(R5.3月時点)
  • その他の治療の費用は含まれておりません。
リスク・副作用
強い力が加わると割れる可能性があります。また、噛み合わせや歯ぎしりの影響で脱離することがあります。
担当医
吉田院長

症例3ハイブリットセラミックインレー

治療前

症例3 ハイブリットセラミックインレー 治療前の写真

治療中

症例3 ハイブリットセラミックインレー 治療中の写真

治療中

症例3 ハイブリットセラミックインレー 治療中の写真

治療後

症例3 ハイブリットセラミックインレー 治療後の写真

62歳 男性

治療内容
古くなった詰め物を取り除き、ハイブリッドセラミック素材のインレーで修復を行いました。見た目と噛み合わせの調和を目的とした処置です。
治療期間
2~3週間
費用
自費 ハイブリットセラミックインレー:33,000円(税込)(R5.3月時点)
  • その他の治療の費用は含まれておりません。
リスク・副作用
強い力が加わると割れる可能性があります。また、噛み合わせや歯ぎしりの影響で脱離することがあります。
担当医
立木先生

症例4イーマックスインレー

左下6番 治療前

症例4 イーマックスインレー 左下6番 治療前の写真

左下6番 治療中

症例4 イーマックスインレー 左下6番 治療中の写真

左下6番 治療中

症例4 イーマックスインレー 左下6番 治療中の写真

左下6番 治療後

症例4 イーマックスインレー 左下6番 治療後の写真

41歳 女性

治療内容
古くなった詰め物を取り除き、e.max(イーマックス)素材のインレーで歯を修復しました。見た目と適合性の改善を目的とした処置です。
治療期間
2~3週間
費用
自費 イーマックスインレー:49,500円(税込)(R5.4月時点)
  • その他の治療の費用は含まれておりません。
リスク・副作用
強い力が加わると割れる可能性があります。また、噛み合わせや歯ぎしりの影響で脱離することがあります。
担当医
立木先生

症例5ハイブリットインレー

右下6番 治療前

症例5 ハイブリットインレー 右下6番 治療前の写真

右下6番 治療中

症例5 ハイブリットインレー 右下6番 治療中の写真

右下6番 治療中

症例5 ハイブリットインレー 右下6番 治療中の写真

右下6番 治療後

症例5 ハイブリットインレー 右下6番 治療後の写真

28歳 男性

治療内容
虫歯で欠けた歯の一部に、ハイブリッドセラミック素材の詰め物(インレー)を装着しました。見た目と噛む機能の改善を目的とした処置です。
治療期間
2~3週間
費用
自費 ハイブリットインレー:33,000円(税込)(R5.4月時点)
  • その他の治療の費用は含まれておりません。
リスク・副作用
強い力が加わると割れる可能性があります。また、噛み合わせや歯ぎしりの影響で脱離することがあります。
担当医
吉田院長

症例6ハイブリットセラミックインレー

左上5番、6番 治療前

症例6 ハイブリットセラミックインレー 治療前の写真

左上5番、6番 治療後

症例6 ハイブリットセラミックインレー 治療後の写真

30歳 女性

治療内容
虫歯で失われた歯の一部を取り除き、ハイブリッドセラミック素材のインレーを用いて修復を行いました。見た目と噛む機能の回復を目的とした治療です。
治療期間
1本2~3週間
費用
自費 ハイブリットセラミックインレー:33,000円(税込)(R5.2月時点)
  • その他の治療の費用は含まれておりません。
リスク・副作用
強い力が加わると割れる可能性があります。また、噛み合わせや歯ぎしりの影響で脱離することがあります。
担当医
吉田院長

症例7ハイブリットセラミックインレー

左下4番 治療前

症例7 ハイブリットセラミックインレー 治療前の写真

左下4番 治療後

症例7 ハイブリットセラミックインレー 治療後の写真

右上5番 治療前

症例7 ハイブリットセラミックインレー 治療前の写真

右上5番 治療後

症例7 ハイブリットセラミックインレー 治療後の写真

58歳

治療内容
古くなった詰め物を取り除き、ハイブリッドセラミック素材のインレーで歯を修復しました。見た目や適合性の改善を目的とした処置です。
治療期間
1か月
費用
自費 ハイブリットセラミックインレー:66,000円(税込)
※1本33,000円(R6.3月時点)
  • その他の治療の費用は含まれておりません。
リスク・副作用
強い力が加わると割れる可能性があります。また、噛み合わせや歯ぎしりの影響で脱離することがあります。
担当医
吉田院長

症例8ハイブリットセラミックインレー

左上5番 治療前

症例8 ハイブリットセラミックインレー 治療前の写真

左上5番 治療後

症例8 ハイブリットセラミックインレー 治療後の写真

右上4番 治療前

症例8 ハイブリットセラミックインレー 治療前の写真

右上4番 治療中

症例8 ハイブリットセラミックインレー 治療中の写真

右上4番 治療後

症例8 ハイブリットセラミックインレー 治療後の写真

37歳

治療内容
虫歯を除去した後、ハイブリッドセラミック素材のインレーを用いて歯を修復しました。見た目や噛む力のバランスを考慮した処置です。
治療期間

左上5番 治療回数2回(2週間)、
右上4番 治療回数3回
費用
自費 ハイブリットセラミックインレー:66,000円(税込)
※1本33,000円(R6.4月時点)
  • その他の治療の費用は含まれておりません。
リスク・副作用
強い力が加わると割れる可能性があります。また、噛み合わせや歯ぎしりの影響で脱離することがあります。
担当医
石附先生

症例9ハイブリットセラミックインレー

左上6番 治療前

症例9 ハイブリットセラミックインレー 治療前の写真

左上6番 治療中

症例9 ハイブリットセラミックインレー 治療中の写真

左上6番 治療後

症例9 ハイブリットセラミックインレー 治療後の写真

58歳

治療内容
古くなった詰め物を除去し、ハイブリッドセラミック素材のインレーで歯を修復しました。見た目やフィット感の改善を目的とした治療です。
治療期間
2週間
費用
自費 ハイブリットセラミックインレー:33,000円(税込)(R6.4月時点)
  • その他の治療の費用は含まれておりません。
リスク・副作用
強い力が加わると割れる可能性があります。また、噛み合わせや歯ぎしりの影響で脱離することがあります。
担当医
吉田院長

症例10ハイブリットセラミックインレー

左上6番 治療前

症例10 ハイブリットセラミックインレー 治療前の写真

左上6番 治療中

症例10 ハイブリットセラミックインレー 治療中の写真

左上6番 治療後

症例10 ハイブリットセラミックインレー 治療後の写真

37歳

治療内容
古くなった詰め物を取り除き、ハイブリッドセラミック製のインレーで歯を修復しました。見た目の自然さと噛み合わせのバランスを考慮した処置です。
治療期間
治療回数2回
費用
自費 ハイブリットセラミックインレー:33,000円(税込)(R6.3月時点)
  • その他の治療の費用は含まれておりません。
リスク・副作用
強い力が加わると割れる可能性があります。また、噛み合わせや歯ぎしりの影響で脱離することがあります。
担当医
吉田院長

症例11ハイブリットセラミックインレー

右上4番 治療前

症例11 ハイブリットセラミックインレー 治療前の写真

右上4番 治療中

症例11 ハイブリットセラミックインレー 治療中の写真

右上4番 治療中

症例11 ハイブリットセラミックインレー 治療中の写真

右上4番 治療後

症例11 ハイブリットセラミックインレー 治療後の写真

58歳

治療内容
古くなった詰め物を外し、ハイブリッドセラミック素材のインレーで歯を修復しました。自然な見た目と機能の回復を目的とした治療です。
治療期間
3週間
費用
自費 ハイブリットセラミックインレー:33,000円(税込)(R6.4月時点)
  • その他の治療の費用は含まれておりません。
リスク・副作用
強い力が加わると割れる可能性があります。また、噛み合わせや歯ぎしりの影響で脱離することがあります。
担当医
石附先生

症例12ハイブリットセラミックインレー

右下7番 治療前

症例12 ハイブリットセラミックインレー 治療前の写真

右下7番 治療後

症例12 ハイブリットセラミックインレー 治療後の写真

54歳

治療内容
古くなった詰め物を外し、ハイブリッドセラミック製のインレーで修復しました。見た目と噛み心地のバランスを考慮した処置です。
治療期間
2週間
費用
自費 ハイブリットセラミックインレー:33,000円(税込)(R6.4月時点)
  • その他の治療の費用は含まれておりません。
リスク・副作用
強い力が加わると割れる可能性があります。また、噛み合わせや歯ぎしりの影響で脱離することがあります。
担当医
大西先生

症例13ハイブリットセラミックインレー

左上5番 治療前

症例13 ハイブリットセラミックインレー 治療前の写真

左上5番 治療中

症例13 ハイブリットセラミックインレー 治療中の写真

左上5番 治療後

症例13 ハイブリットセラミックインレー 治療後の写真

46歳 女性

治療内容
古くなった詰め物を外し、ハイブリッドセラミック素材のインレーで歯を修復しました。自然な見た目と噛む機能の回復を目的とした治療です。
治療期間
治療回数2回(1か月)
費用
自費 ハイブリットセラミックインレー:33,000円(税込)(R6.3月時点)
  • その他の治療の費用は含まれておりません。
リスク・副作用
強い力が加わると割れる可能性があります。また、噛み合わせや歯ぎしりの影響で脱離することがあります。
担当医
吉田院長

症例14イーマックスインレー

右下6番 治療前

症例14 イーマックスインレー 治療前の写真

右下6番 治療中

症例14 イーマックスインレー 治療中の写真

右下6番 治療中

症例14 イーマックスインレー 治療中の写真

右下6番 治療後

症例14 イーマックスインレー 治療後の写真

60歳

治療内容
古くなった詰め物を取り除き、e.max(イーマックス)素材のインレーで歯を修復しました。見た目の自然さと機能性を考慮した治療です。
治療期間
2週間
費用
自費 イーマックスインレー:49,500円(税込)(R6.4月時点)
  • その他の治療の費用は含まれておりません。
リスク・副作用
強い力が加わると割れる可能性があります。また、噛み合わせや歯ぎしりの影響で脱離することがあります。
担当医
立木先生

症例15ハイブリットセラミックインレー

左下6番 治療前

症例15 ハイブリットセラミックインレー 治療前の写真

左下6番 治療後

症例15 ハイブリットセラミックインレー 治療後の写真

42歳

治療内容
古い詰め物を取り除き、ハイブリッドセラミック素材のインレーで歯を修復しました。見た目と噛み心地の改善を目的とした自由診療の治療です。
治療期間
1カ月
費用
自費 ハイブリットセラミックインレー:33,000円(税込)(R6.3月時点)
  • その他の治療の費用は含まれておりません。
リスク・副作用
強い力が加わると割れる可能性があります。また、噛み合わせや歯ぎしりの影響で脱離することがあります。
担当医
渡邊先生

症例16ハイブリットセラミックインレー

左下4番 治療前

症例16 ハイブリットセラミックインレー 治療前の写真

左下4番 治療後

症例16 ハイブリットセラミックインレー 治療後の写真

32歳

治療内容
虫歯を除去した後、ハイブリッドセラミック素材のインレーを用いて歯を修復しました。見た目と機能のバランスを考慮した自由診療の治療です。
治療回数
2回
費用
自費 ハイブリットセラミックインレー:33,000円(税込)(R6.5月時点)
  • その他の治療の費用は含まれておりません。
リスク・副作用
強い力が加わると割れる可能性があります。また、噛み合わせや歯ぎしりの影響で脱離することがあります。
担当医
吉田院長

症例17ハイブリットセラミックインレー

治療前

症例1 フルジルコニアクラウン 治療前の写真

治療中

症例1 フルジルコニアクラウン 治療中の写真

治療後

症例1 フルジルコニアクラウン 治療後の写真

66歳

治療内容
古くなった詰め物を取り除き、ハイブリッドセラミック素材のインレーで歯を修復しました。見た目と機能のバランスを考慮した自由診療の治療です。
治療回数
2回
費用
自費 ハイブリットセラミックインレー:33,000円(税込)(R6.6月時点)
  • その他の治療の費用は含まれておりません。
リスク・副作用
強い力が加わると割れる可能性があります。また、噛み合わせや歯ぎしりの影響で脱離することがあります。
担当医
吉田院長

症例18ハイブリットセラミックインレー

左上6番 治療前

症例1 フルジルコニアクラウン 治療前の写真

左上6番 治療中

症例1 フルジルコニアクラウン 治療中の写真

左上6番 治療後

症例1 フルジルコニアクラウン 治療後の写真

40歳

治療内容
古くなった詰め物を取り除き、ハイブリッドセラミック素材のインレーで歯を修復しました。見た目と機能のバランスを考慮した自由診療の治療です。
治療回数
約1ヵ月
費用
自費 ハイブリットセラミックインレー:33,000円(税込)(R6.6月時点)
  • その他の治療の費用は含まれておりません。
リスク・副作用
強い力が加わると割れる可能性があります。また、噛み合わせや歯ぎしりの影響で脱離することがあります。
担当医
吉田院長

症例19ハイブリットセラミックインレー

左上6番 治療前

症例1 フルジルコニアクラウン 治療前の写真

左上6番 治療中

症例1 フルジルコニアクラウン 治療中の写真

左上6番 治療後

症例1 フルジルコニアクラウン 治療後の写真

62歳

治療内容
古くなった詰め物を取り除き、ハイブリッドセラミック素材のインレーで歯を修復しました。見た目と機能のバランスを考慮した自由診療の治療です。
治療回数
2回
費用
自費 ハイブリットセラミックインレー:33,000円(税込)(R6.6月時点)
  • その他の治療の費用は含まれておりません。
リスク・副作用
強い力が加わると割れる可能性があります。また、噛み合わせや歯ぎしりの影響で脱離することがあります。
担当医
吉田院長

症例20ゴールドインレー

左下4番 治療前

症例20 ハイブリットセラミックインレー 治療前の写真

左下4番 治療後

症例20 ハイブリットセラミックインレー 治療後の写真

43歳

治療内容
虫歯を除去したあと、噛む力に優れた金属素材(ゴールド)のインレーを用いて歯を修復しました。耐久性と適合性を考慮した自由診療の治療です。
費用
自費 ゴールドインレー:49,500円(税込)(R6.6月時点)
  • その他の治療の費用は含まれておりません。
リスク・副作用
・金属アレルギーを引き起こす可能性があります。
・強度が高いため、まれに対合歯(かみ合う歯)に負担がかかることがあります。
・接着剤の劣化や咬合力の影響により、まれに外れることがあります。
担当医
石附先生

症例21ハイブリットセラミックインレー

右上5番 治療前

症例21 ハイブリットセラミックインレー 治療前の写真

右上5番 治療中

症例21 ハイブリットセラミックインレー 治療前の写真

右上5番 治療後

症例21 ハイブリットセラミックインレー 治療中の写真

28歳

治療内容
古くなった詰め物を取り除き、ハイブリッドセラミック素材のインレーで歯を修復しました。見た目と機能のバランスを考慮した自由診療の治療です。
費用
自費 ハイブリットセラミックインレー:33,000円(税込)(R6.2月時点)
  • その他の治療の費用は含まれておりません。
リスク・副作用
強い力が加わると割れる可能性があります。また、噛み合わせや歯ぎしりの影響で脱離することがあります。
担当医
吉田院長

症例22ハイブリットセラミックインレー

右下6番 治療前

症例22 ハイブリットセラミックインレー 治療前の写真

右下6番 治療中

症例22 ハイブリットセラミックインレー 治療中の写真

右下6番 治療中

症例22 ハイブリットセラミックインレー 治療中の写真

右下6番 治療後

症例21 ハイブリットセラミックインレー 治療後の写真

54歳

治療内容
古くなった詰め物を取り除き、ハイブリッドセラミック素材のインレーで歯を修復しました。見た目と機能のバランスを考慮した自由診療の治療です。
治療期間
3週間
費用
自費 ハイブリットセラミックインレー:33,000円(税込)(R6.5月時点)
  • その他の治療の費用は含まれておりません。
担当医
大西先生

症例23ハイブリットセラミックインレー

右下4番 治療前

症例23 ハイブリットセラミックインレー 治療前の写真

右下4番 治療中

症例23 ハイブリットセラミックインレー 治療中の写真

42歳

治療内容
古くなった詰め物を取り除き、ハイブリッドセラミック素材のインレーで歯を修復しました。見た目と機能のバランスを考慮した自由診療の治療です。
費用
自費 ハイブリットセラミックインレー:33,000円(税込)(R6.6月時点)
  • その他の治療の費用は含まれておりません。
リスク・副作用
強い力が加わると割れる可能性があります。また、噛み合わせや歯ぎしりの影響で脱離することがあります。
担当医
大西先生

症例24プレスセラミックインレー

左上6番 治療前

症例24 プレスセラミックインレー 治療前の写真

左上6番 治療中

症例24 プレスセラミックインレー 治療中の写真

左上6番 治療後

症例24 プレスセラミックインレー 治療後の写真

56歳

治療内容
過去に装着された銀歯が欠けてしまい、こちらを除去。金属を使用せず、汚れもつきにくく、適合も良いセラミックをご希望され再治療を行いました。
治療回数
2回
費用
自費 プレスセラミックインレー:60,500円(税込)(R7.10月時点)
  • その他の治療の費用は含まれておりません。
リスク・副作用
強い力が加わると割れる可能性があります。また、噛み合わせや歯ぎしりの影響で脱離することがあります。
担当医
立木先生

症例25オールセラミックインレー

右上4番、5番 治療前

症例25 オールセラミックインレー 治療前の写真

右上4番、5番 治療中

症例25 オールセラミックインレー 治療中の写真

右上4番、5番 治療後

症例25 オールセラミックインレー 治療後の写真

27歳

治療内容
以前のプラスティック(樹脂)の詰め物をしていた2本の歯が、二次虫になっていました)。 古い詰め物と虫歯をきれいに取り除き、見た目が良く歯にぴったり合うセラミックの詰め物で2本同時に治しました。
治療回数
3回
費用
自費 オールセラミックインレー:88,000円(税込)※1本44,000円(R7.10月時点)
  • その他の治療の費用は含まれておりません。
リスク・副作用
強い力が加わると割れる可能性があります。また、噛み合わせや歯ぎしりの影響で脱離することがあります。
担当医
立木先生

症例26オールセラミックインレー

右下4番 治療前

症例26 オールセラミックインレー 治療前の写真

右下4番 治療中

症例26 オールセラミックインレー 治療中の写真

右下4番 治療後

症例26 オールセラミックインレー 治療後の写真

39歳

治療内容
虫歯で欠けた部分を除去し、型どりを行い、天然歯に近い色調と高い耐久性を持つオールセラミックインレーをセットしました。
治療回数
2回
費用
自費 オールセラミックインレー:44,000円(税込)(R7.10月時点)
  • その他の治療の費用は含まれておりません。
リスク・副作用
強い力が加わると割れる可能性があります。また、噛み合わせや歯ぎしりの影響で脱離することがあります。
担当医
立木先生

症例27ゴールドインレー

左上6番 治療前

症例27 ゴールドインレー 治療前の写真

左上6番 治療中

症例27 ゴールドインレー 治療中の写真

左上6番 治療後

症例27 ゴールドインレー 治療後の写真

49歳

治療内容
銀歯の下のカリエスが進行しており銀歯とカリエスを除去。強度もあり、天然歯に近い硬さを持つ適合性の高いゴールドインレーにやり替えました。
治療回数
3回
費用
自費 ゴールドインレー:66,000円(税込)(大臼歯)(R7.10月時点)
  • その他の治療の費用は含まれておりません。
リスク・副作用
・金属アレルギーを引き起こす可能性があります。
・強度が高いため、まれに対合歯(かみ合う歯)に負担がかかることがあります。
・接着剤の劣化や咬合力の影響により、まれに外れることがあります。
担当医
大西先生

症例28ハイブリットインレー

左上6番 治療前

症例28 ハイブリットインレー 治療前の写真

左上6番 治療中

症例28 ハイブリットインレー 治療中の写真

左上6番 治療後

症例28 ハイブリットインレー 治療後の写真

39歳

治療内容
レントゲン検査にて発見されたむし歯を丁寧に除去し、治療を行いました。 その後、審美性に優れた白い詰め物であるハイブリッドインレーをセットしました。
治療回数
3回
費用
自費 ハイブリットインレー:33,000円(税込)(R6.7月時点)
  • その他の治療の費用は含まれておりません。
リスク・副作用
強い力が加わると割れる可能性があります。また、噛み合わせや歯ぎしりの影響で脱離することがあります。
担当医
吉田院長

症例29オールセラミックインレー

右下5番 治療前

症例29 オールセラミックインレー 治療前の写真

右下5番 治療中

症例29 オールセラミックインレー 治療中の写真

右下5番 治療後

症例29 オールセラミックインレー 治療後の写真

41歳

治療内容
不適合となり再治療が必要となったプラスチックの詰め物を外し、むし歯を処理しました。 審歯との適合性も高いオールセラミックインレーに新しくやり替えをしました。
治療回数
2回
費用
自費 オールセラミックインレー:44,000円(税込)(R7.11月時点)
  • その他の治療の費用は含まれておりません。
リスク・副作用
強い力が加わると割れる可能性があります。また、噛み合わせや歯ぎしりの影響で脱離することがあります。
担当医
吉田院長

症例30プレスセラミックインレー

左下6番 治療前

症例30 プレスセラミックインレー 治療前の写真

左下6番 治療中

症例30 プレスセラミックインレー 治療中の写真

左下6番 治療後

症例30 プレスセラミックインレー 治療後の写真

43歳

治療内容
既存のメタルインレーの下に進行していた二次虫歯を除去し、見た目と適合性に優れたプレスセラミックインレーに交換しました。
治療回数
2回
費用
自費 プレスセラミックインレー:60,500円(税込)(R7.10月時点)
  • その他の治療の費用は含まれておりません。
リスク・副作用
強い力が加わると割れる可能性があります。また、噛み合わせや歯ぎしりの影響で脱離することがあります。
担当医
吉田院長

症例31E-MAXインレー

左下6番 治療前

症例31 E-MAXインレー 治療前の写真

左下6番 治療中

症例31 E-MAXインレー 治療中の写真

左下6番 治療後

症例31 E-MAXインレー 治療後の写真

48歳

費用
自費 E-MAXインレー:44,000円(税込)(R7.11月時点)
  • その他の治療の費用は含まれておりません。
リスク・副作用
強い力が加わると割れる可能性があります。また、噛み合わせや歯ぎしりの影響で脱離することがあります。
担当医
吉田院長

症例32ハイブリットインレー

左上5番 治療前

症例32 ハイブリットインレー 治療前の写真

左上5番 治療中

症例32 ハイブリットインレー 治療中の写真

左上5番 治療後

症例32 ハイブリットインレー 治療後の写真

71歳

費用
自費 ハイブリットインレー:33,000円(税込)(R6.10月時点)
  • その他の治療の費用は含まれておりません。
リスク・副作用
強い力が加わると割れる可能性があります。また、噛み合わせや歯ぎしりの影響で脱離することがあります。
担当医
吉田院長

症例33イーマックスインレー

左下5番 治療前

症例33 イーマックスインレー 治療前の写真

左下5番 治療中

症例33 イーマックスインレー 治療中の写真

左下5番 治療後

症例33 イーマックスインレー 治療後の写真

24歳

治療内容
虫歯を除去した後、セラミック素材のインレーを用いて歯を修復しました。見た目と機能のバランスを考慮した自由診療の治療です。
治療回数
3回
費用
自費 イーマックスインレー:49,500円(税込)(R6.9月時点)
  • その他の治療の費用は含まれておりません。
リスク・副作用
強い力が加わると割れる可能性があります。また、噛み合わせや歯ぎしりの影響で脱離することがあります。
担当医
稲月先生

症例34ゴールドインレー

左上7番 治療前

症例34 ゴールドインレー 治療前の写真

左上7番 治療中

症例34 ゴールドインレー 治療中の写真

左上7番 治療後

症例34 ゴールドインレー 治療後の写真

62歳

費用
自費 ゴールドインレー:66,000円(税込)(R7.11月時点)
  • その他の治療の費用は含まれておりません。
リスク・副作用
・金属アレルギーを引き起こす可能性があります。
・強度が高いため、まれに対合歯(かみ合う歯)に負担がかかることがあります。
・接着剤の劣化や咬合力の影響により、まれに外れることがあります。
担当医
吉田院長

症例35オールセラミックインレー

右上7番 治療中

症例35 オールセラミックインレー 治療中の写真

右上7番 治療後

症例35 オールセラミックインレー 治療中の写真

29歳

費用
自費 オールセラミックインレー:44,000円(税込)(R7.10月時点)
  • その他の治療の費用は含まれておりません。
リスク・副作用
強い力が加わると割れる可能性があります。また、噛み合わせや歯ぎしりの影響で脱離することがあります。
担当医
吉田院長

症例36プレスセラミックインレー

右上6番 治療前

症例36 プレスセラミックインレー 治療前の写真

右上6番 治療後

症例36 プレスセラミックインレー 治療中の写真

右上6番 治療後

症例36 プレスセラミックインレー 治療後の写真

66歳

治療内容
深いカリエスでしたが、神経(歯髄)を温存するための慎重な経過観察を経て、痛みの再発なく形成印象を行いました。汚れもつきにくく、適合も良いセラミックを精密にセットし、修復完了しました。
治療回数
3回
費用
自費 プレスセラミックインレー:60,500円(税込)(R7.7月時点)
  • その他の治療の費用は含まれておりません。
リスク・副作用
強い力が加わると割れる可能性があります。また、噛み合わせや歯ぎしりの影響で脱離することがあります。
担当医
稲月先生

クラウン(被せ物)

症例1フルジルコニアクラウン

治療前

症例1 フルジルコニアクラウン 治療前の写真

治療中

症例1 フルジルコニアクラウン 治療中の写真

治療後

症例1 フルジルコニアクラウン 治療後の写真

32歳 女性

治療期間
根の治療含め3か月
費用
自費 フルジルコニアクラウン:77,000円(税込)(R5.4月時点)
  • その他の治療の費用は含まれておりません。
治療内容
虫歯が進行していた左上5番の部位に、フルジルコニアクラウンを使用し治療を行いました。
リスク・副作用
・硬い素材のため、かみ合う歯に負担がかかることがあります。
・強い力が加わると、まれに欠けたり割れたりすることがあります。
・将来取り外す場合に歯に負担がかかることがあります。
担当医
吉田院長

症例2フルジルコニア・ファイバーコア

右上6番 治療前

症例2 フルジルコニア・ファイバーコア 治療前の写真

右上6番 治療中

症例2 フルジルコニア・ファイバーコア 治療中の写真

右上6番 治療後

症例2 フルジルコニア・ファイバーコア 治療後の写真

49歳

治療内容
虫歯で大きく失われた歯に対して、土台としてファイバーコアを使用し、その上にフルジルコニア製の被せ物を装着しました。見た目と強度を両立した自由診療の治療です。
治療期間
根の治療を含め約2か月
費用
自費
フルジルコニアクラウン:77,000円(税込)
ファイバーコア:16,500円(税込)(R5.5月時点)
  • その他の治療の費用は含まれておりません。
リスク・副作用
・硬い素材のため、かみ合う歯に負担がかかることがあります。
・強い力が加わると、まれに欠けたり割れたりすることがあります。
・将来取り外す場合に歯に負担がかかることがあります。
担当医
立木先生

症例3フルジルコニアクラウン

右下7番 治療前

症例3 フルジルコニアクラウン 治療前の写真

右下7番 治療中

症例3 フルジルコニアクラウン 治療中の写真

右下7番 治療後

症例3 フルジルコニアクラウン 治療後の写真

21歳

治療内容
虫歯で大きく欠けた歯を削り、フルジルコニア素材のクラウン(被せ物)で修復しました。強度と耐久性に優れた自由診療の治療です。
治療期間
1か月
費用
自費 フルジルコニアクラウン:77,000円(税込)(R6.2月時点)
  • その他の治療の費用は含まれておりません。
リスク・副作用
・硬い素材のため、かみ合う歯に負担がかかることがあります。
・強い力が加わると、まれに欠けたり割れたりすることがあります。
・将来取り外す場合に歯に負担がかかることがあります。
担当医
吉田院長

症例4フルジルコニアブリッジ

左下5、6、7番 治療前

症例4 フルジルコニアブリッジ 治療前の写真

左下5、6、7番 治療後

症例4 フルジルコニアブリッジ 治療後の写真

65歳

治療期間
1か月半
費用
自費
フルジルコニアブリッジ:231,000円(税込)(R5.8月時点)
  • その他の治療の費用は含まれておりません。
担当医
吉田院長
リスク・副作用
・硬い素材のため、かみ合う歯に負担がかかることがあります。
・強い力が加わると、まれに欠けたり割れたりすることがあります。
・将来取り外す場合に歯に負担がかかることがあります。
治療内容・コメント
患者様より、金属を白くしたいとご希望がございました。
被せ物を除去し、フルジルコニアブリッジをセットしました。

症例5フルジルコニアクラウン

左上6番(側面) 治療前

症例5 フルジルコニアクラウン(側面) 治療前の写真

左上6番(側面) 治療後

症例5 フルジルコニアクラウン(側面) 治療後の写真

左上6番(咬合面) 治療前

症例5 フルジルコニアクラウン(咬合面) 治療前の写真

左上6番(咬合面) 治療後

症例5 フルジルコニアクラウン(咬合面) 治療後の写真

31歳

治療期間
費用
自費
フルジルコニアクラウン:77,000円(税込)
ファイバーコア:16,500円(税込)(R6.4月時点)
  • その他の治療の費用は含まれておりません。
担当医
立木先生
リスク・副作用
・硬い素材のため、かみ合う歯に負担がかかることがあります。
・強い力が加わると、まれに欠けたり割れたりすることがあります。
・将来取り外す場合に歯に負担がかかることがあります。
治療内容・コメント
虫歯がありご来院されました。かぶせ物の選択で白いものを希望され、より適合のよいフルジルコニアを選択いただきました。

症例6フルジルコニアクラウン

左下5番 治療前

症例6 フルジルコニアクラウン 治療前の写真

左下5番 治療後

症例6 フルジルコニアクラウン 治療後の写真

38歳

治療期間
1か月半
費用
自費 フルジルコニアクラウン:77,000円(税込)(R6.4月時点)
  • その他の治療の費用は含まれておりません。
担当医
吉田院長
リスク・副作用
・硬い素材のため、かみ合う歯に負担がかかることがあります。
・強い力が加わると、まれに欠けたり割れたりすることがあります。
・将来取り外す場合に歯に負担がかかることがあります。
治療内容・コメント
他院で入れられた被せ物が割れてご来院されました。フルジルコニアで歯間形態を補綴治療しました。

症例7フルジルコニアクラウン

左下7番 治療前

症例7 フルジルコニアクラウン 治療前の写真

左下7番 治療中

症例7 フルジルコニアクラウン 治療中の写真

左下7番 治療後

症例7 フルジルコニアクラウン 治療後の写真

30歳

治療期間
1か月半
費用
自費 フルジルコニアクラウン:77,000円(税込)(R6.5月時点)
  • その他の治療の費用は含まれておりません。
担当医
石附先生
リスク・副作用
・硬い素材のため、かみ合う歯に負担がかかることがあります。
・強い力が加わると、まれに欠けたり割れたりすることがあります。
・将来取り外す場合に歯に負担がかかることがあります。
治療内容・コメント
被せ物が土台から取れてしまいご来院されました。
土台と被せ物のやり替えを行いました。

症例8フルジルコニアクラウン

左上1番、2番 治療前

症例7 フルジルコニアクラウン 治療前の写真

左上1番、2番 治療後

症例7 フルジルコニアクラウン 治療中の写真

61歳

治療期間
1か月半
費用
自費 フルジルコニアクラウン:231,000円(税込)(1本77,000円×3)(R6.2月時点)
  • その他の治療の費用は含まれておりません。
担当医
吉田院長
リスク・副作用
・硬い素材のため、かみ合う歯に負担がかかることがあります。
・強い力が加わると、まれに欠けたり割れたりすることがあります。
・将来取り外す場合に歯に負担がかかることがあります。
治療内容・コメント
昔に入れられた被せ物のやり替えを希望されました。
フルジルコニアで新しく被せ物をセットされました。

症例9フルジルコニアクラウン

右上2番、前歯ブリッジ 治療前

症例7 フルジルコニアクラウン 治療前の写真

右上2番、前歯ブリッジ 治療中

症例7 フルジルコニアクラウン 治療前の写真

右上2番、前歯ブリッジ 治療後

症例7 フルジルコニアクラウン 治療中の写真

71歳

治療期間
約1か月
費用
自費 フルジルコニアクラウン:308,000円(税込)(1本77,000円×4)(R6.5月時点)
  • その他の治療の費用は含まれておりません。
担当医
渡邊先生
リスク・副作用
・硬い素材のため、かみ合う歯に負担がかかることがあります。
・強い力が加わると、まれに欠けたり割れたりすることがあります。
・将来取り外す場合に歯に負担がかかることがあります。
治療内容・コメント
前歯の長さを合わせたいご希望があり、前歯ブリッジのやり替えを行いました。

症例10フルジルコニアクラウン

右上3番 治療前

症例7 フルジルコニアクラウン 治療前の写真

右上3番 治療後

症例7 フルジルコニアクラウン 治療中の写真

68歳

治療期間
1か月半
費用
自費
フルジルコニアクラウン:77,000円(税込)
ファイバーコア:16,500円(税込)(R6.6月時点)
  • その他の治療の費用は含まれておりません。
担当医
渡邊先生
リスク・副作用
・硬い素材のため、かみ合う歯に負担がかかることがあります。
・強い力が加わると、まれに欠けたり割れたりすることがあります。
・将来取り外す場合に歯に負担がかかることがあります。
治療内容・コメント
虫歯で歯が欠けてしまい、被せ物作成の再治療を行いました。

症例11フルジルコニアクラウン

左上2番 治療前

症例11 フルジルコニアクラウン 治療前の写真

左上2番 治療中

症例11 フルジルコニアクラウン 治療前の写真

左上2番 治療後

症例11 フルジルコニアクラウン 治療中の写真

60歳

治療期間
1か月半
費用
自費
フルジルコニアクラウン:77,000円(税込)
ファイバーコア:16,500円(税込)(R6.6月時点)
  • その他の治療の費用は含まれておりません。
担当医
石附先生
リスク・副作用
・硬い素材のため、かみ合う歯に負担がかかることがあります。
・強い力が加わると、まれに欠けたり割れたりすることがあります。
・将来取り外す場合に歯に負担がかかることがあります。
治療内容・コメント
歯の色が気になられており、やり替えを希望されました。
被せ物を除去し再治療を行い、見た目も白くなりました。

症例12フルジルコニアクラウン

右下7番 治療前

症例12 フルジルコニアクラウン 治療前の写真

右下7番 治療中

症例12 フルジルコニアクラウン 治療前の写真

右下7番 治療後

症例12 フルジルコニアクラウン 治療中の写真

50歳

治療期間
1か月半
費用
自費
フルジルコニアクラウン:77,000円(税込)(R6.6月時点)
  • その他の治療の費用は含まれておりません。
担当医
立木先生
リスク・副作用
・硬い素材のため、かみ合う歯に負担がかかることがあります。
・強い力が加わると、まれに欠けたり割れたりすることがあります。
・将来取り外す場合に歯に負担がかかることがあります。
治療内容・コメント
虫歯の治療を行いました。より、性能の良いフルジルコニアをご希望されセットいたしました。

症例13フルジルコニアクラウン

右下5番 治療前

症例13 フルジルコニアクラウン(側面) 治療前の写真

右下5番 治療中

症例13 フルジルコニアクラウン(側面) 治療後の写真

右下5番 治療中

症例13 フルジルコニアクラウン(咬合面) 治療前の写真

右下5番 治療後

症例13 フルジルコニアクラウン(咬合面) 治療後の写真

76歳

治療期間
費用
自費
フルジルコニアクラウン:231,000(77000円×3)円(税込)
ファイバーコア:16,500円(税込)(R6.7月時点)
  • その他の治療の費用は含まれておりません。
担当医
吉田院長
リスク・副作用
・硬い素材のため、かみ合う歯に負担がかかることがあります。
・強い力が加わると、まれに欠けたり割れたりすることがあります。
・将来取り外す場合に歯に負担がかかることがあります。
治療内容・コメント
歯が破折してしまい、新しく作成する被せ物ではブリッジをご希望されました。

症例14フルジルコニアクラウン

右上6番 治療前

症例2 フルジルコニアクラウン 治療前の写真

右上6番 治療中

症例2 フルジルコニアクラウン 治療中の写真

右上6番 治療後

症例2 フルジルコニアクラウン 治療後の写真

49歳

治療内容
虫歯で大きく失われた歯に対して、土台としてファイバーコアを使用し、その上にフルジルコニア製の被せ物を装着しました。見た目と強度を両立した自由診療の治療です。
治療期間
根の治療を含め約2か月
費用
自費
フルジルコニアクラウン:77,000円(税込)
ファイバーコア:16,500円(税込)
  • その他の治療の費用は含まれておりません。
リスク・副作用
・硬い素材のため、かみ合う歯に負担がかかることがあります。
・強い力が加わると、まれに欠けたり割れたりすることがあります。
・将来取り外す場合に歯に負担がかかることがあります。
担当医
立木先生

症例15フルジルコニアクラウン

右下6番 治療前

症例15 フルジルコニアクラウン 治療前の写真

右下6番 治療中

症例15 フルジルコニアクラウン 治療中の写真

右下6番 治療後

症例15 フルジルコニアクラウン 治療後の写真

56歳

治療内容
不適合な銀歯を除去し、土台の形を整えました。 高い耐久性と審美性を兼ね備えたフルジルコニアクラウンにて再治療を行いました。
治療回数
2回
費用
自費
フルジルコニアクラウン:77,000円(税込)(R7.10月時点)
  • その他の治療の費用は含まれておりません。
リスク・副作用
・硬い素材のため、かみ合う歯に負担がかかることがあります。
・強い力が加わると、まれに欠けたり割れたりすることがあります。
・将来取り外す場合に歯に負担がかかることがあります。
担当医
立木先生

症例16フルジルコニアクラウン

右上6番 治療前

症例16 フルジルコニアクラウン 治療前の写真

右上6番 治療後

症例16 フルジルコニアクラウン 治療中の写真

62歳

治療内容
銀歯の二次カリエスを除去し、歯を形成した後、フルジルコニアクラウンを装着しました。これにより、再発リスクの軽減と機能・見た目の回復を図りました。
費用
自費
フルジルコニアクラウン:77,000円(税込)(R7.10月時点)
  • その他の治療の費用は含まれておりません。
リスク・副作用
・硬い素材のため、かみ合う歯に負担がかかることがあります。
・強い力が加わると、まれに欠けたり割れたりすることがあります。
・将来取り外す場合に歯に負担がかかることがあります。
担当医
立木先生

症例17フルジルコニアクラウン

右上7番 治療前

症例17 フルジルコニアクラウン 治療前の写真

右上7番 治療後

症例17 フルジルコニアクラウン 治療中の写真

右上7番 治療後

症例17 フルジルコニアクラウン 治療後の写真

70歳

治療内容
不適合な被せものを撤去し、高強度で審美性に優れたフルジルコニアクラウンにやり替えを行いました。
費用
自費
フルジルコニアクラウン:77,000円(税込)(R7.10月時点)
  • その他の治療の費用は含まれておりません。
リスク・副作用
・硬い素材のため、かみ合う歯に負担がかかることがあります。
・強い力が加わると、まれに欠けたり割れたりすることがあります。
・将来取り外す場合に歯に負担がかかることがあります。
担当医
大西先生

症例18フルジルコニア・ファイバーコア

左上7番 治療前

症例18 フルジルコニア・ファイバーコア 治療前の写真

左上7番 治療中

症例18 フルジルコニア・ファイバーコア 治療中の写真

左上7番 治療後

症例18 フルジルコニア・ファイバーコア 治療後の写真

48歳

治療内容
虫古い金属の土台(メタルコア)と銀の被せ物(FMC)を取り除き、土台はメタルコアと比べ歯に近い材質のファイバーコアに変えました。被せ物には高い強度のフルジルコニアをセットし、歯を守りながらしっかり噛めるように治療をやり直しました。
治療期間
約2か月
費用
自費
フルジルコニアクラウン:77,000円(税込)
ファイバーコア:16,500円(税込)(R7.10月時点)
  • その他の治療の費用は含まれておりません。
リスク・副作用
・硬い素材のため、かみ合う歯に負担がかかることがあります。
・強い力が加わると、まれに欠けたり割れたりすることがあります。
・将来取り外す場合に歯に負担がかかることがあります。
担当医
吉田院長

症例19E-MAXクラウン

左上2番 治療前

症例19 E-MAXクラウン 治療前の写真

左上2番 治療中

症例19 E-MAXクラウン 治療中の写真

左上2番 治療後

症例19 E-MAXクラウン 治療後の写真

58歳

費用
自費
E-MAXクラウン:110,000円(税込)(R7.11月時点)
  • その他の治療の費用は含まれておりません。
リスク・副作用
強い力が加わると割れる可能性があります。また、噛み合わせや歯ぎしりの影響で脱離することがあります。
担当医
大西先生

症例20E-MAXクラウン

右上2番 治療前

症例20 E-MAXクラウン 治療前の写真

右上2番 治療中

症例20 E-MAXクラウン 治療中の写真

右上2番 治療後

症例20 E-MAXクラウン 治療後の写真

右上2番 口蓋 治療前

症例20 E-MAXクラウン 治療前の写真

右上2番 口蓋 治療中

症例20 E-MAXクラウン 治療中の写真

右上2番 口蓋 治療後

症例20 E-MAXクラウン 治療後の写真

57歳

費用
自費
E-MAXクラウン:110,000円(税込)(R7.11月時点)
  • その他の治療の費用は含まれておりません。
リスク・副作用
強い力が加わると割れる可能性があります。また、噛み合わせや歯ぎしりの影響で脱離することがあります。
担当医
佐久間先生

症例21フルジルコニアクラウン

左下7番 治療中

症例21 フルジルコニアクラウン 治療中の写真

左下7番 治療後

症例21 フルジルコニアクラウン 治療後の写真

57歳

費用
自費
フルジルコニアクラウン:77,000円(税込)
ファイバーコア:16,500円(税込)(R6.6月時点)
  • その他の治療の費用は含まれておりません。
リスク・副作用
・硬い素材のため、かみ合う歯に負担がかかることがあります。
・強い力が加わると、まれに欠けたり割れたりすることがあります。
・将来取り外す場合に歯に負担がかかることがあります。
担当医
吉田院長

インプラント

症例1インプラント

治療前

症例1 インプラント 治療前の写真

治療中

症例1 インプラント 治療中の写真

治療後

症例1 インプラント 治療後の写真

治療前

症例1 インプラント 治療前の写真

治療中

症例1 インプラント 治療中の写真

治療後

症例1 インプラント 治療後の写真

51歳

治療内容
歯を失った患者様に対し、インプラントによる補綴治療(人工の歯を入れる治療)を行いました。
治療期間
インプラント埋入後4か月
費用
自費
インプラント埋入1本:275,000円(税込)
インプラント上部構造1本:110,000円(税込)(R5.5月時点)
  • その他の治療の費用は含まれておりません。
リスク・副作用
・インプラントは外科手術を伴う治療のため、腫れ・痛み・出血・内出血などが生じる場合があります。
・インプラントと骨の結合がうまくいかず、再治療が必要となることもあります。
・手術後は感染予防や定期的なメンテナンスが重要です。清掃不良などによりインプラント周囲炎(インプラントの歯周病)を起こすことがあります。
担当医
吉田院長

症例2インプラント

右下5、6、7番 治療前

症例2 インプラント 治療前の写真

右下5、6、7番 治療中

症例2 インプラント 治療中の写真

右下5、6、7番 治療後

症例2 インプラント 治療後の写真

3年経過の状態

症例2 インプラント 3年経過の状態

65歳

治療内容
歯を失った患者様に対し、インプラントによる補綴治療(人工の歯を入れる治療)を行いました。
治療期間
インプラント埋入後6か月
費用
自費
インプラント埋入2本:550,000円(税込)
インプラント上部構造3本:330,000円(税込)(R4.4月時点)
  • その他の治療の費用は含まれておりません。
リスク・副作用
・インプラントは外科手術を伴う治療のため、腫れ・痛み・出血・内出血などが生じる場合があります。
・インプラントと骨の結合がうまくいかず、再治療が必要となることもあります。
・手術後は感染予防や定期的なメンテナンスが重要です。清掃不良などによりインプラント周囲炎(インプラントの歯周病)を起こすことがあります。
担当医
吉田院長

症例3インプラント

右下6番 治療前

症例3 インプラント 治療前の写真

右下6番 埋入

症例3 インプラント 埋入の写真

右下6番 上部構造セット

症例3 インプラント 上部構造セットの写真

65歳

費用
自費
インプラント埋入1本:275,000円(税込)
インプラント上部構造1本:110,000円(税込)(R7.10月時点)
  • その他の治療の費用は含まれておりません。
リスク・副作用
・インプラントは外科手術を伴う治療のため、腫れ・痛み・出血・内出血などが生じる場合があります。
・インプラントと骨の結合がうまくいかず、再治療が必要となることもあります。
・手術後は感染予防や定期的なメンテナンスが重要です。清掃不良などによりインプラント周囲炎(インプラントの歯周病)を起こすことがあります。
担当医
吉田院長

ペリオ(歯周病)

症例1ペリオ

治療前

症例1 ペリオ 治療前の写真

治療後

症例1 ペリオ 治療後の写真

31歳

治療期間
10か月
担当医
吉田院長
担当歯科衛生士

Sさん

リスク・副作用
・治療中・治療後に歯ぐきから出血や痛みを伴うことがあります。
・一時的に知覚過敏(しみる症状)が出ることがあります。
・治療後、歯ぐきが引き締まることで「歯が長くなったように見える」ことがあります。
・歯の動揺が一時的に強く感じられることがあります。
・セルフケア(歯磨き)や定期的なメンテナンスが不十分だと、再発のリスクがあります。
治療内容・コメント
歯周基本治療で改善後、メインテナンスの継続で維持できています。初診時には歯肉の赤さが目立ちましたが、主に患者様のブラッシングが良くなり、プラークが少なくなったことで改善しました。特に細かい部分にはタフトブラシを継続して使用していただいたことが改善につながったと思います。

症例2ペリオ

治療前

症例1 ペリオ 治療前の写真
症例1 ペリオ 治療前の写真
症例1 ペリオ 治療前の写真
症例1 ペリオ 治療前の写真
症例1 ペリオ 治療前の写真

治療後

症例1 c295 ペリオ 治療後の写真
症例1 c296 ペリオ 治療後の写真
症例1 c301 ペリオ 治療後の写真
症例1 c302 ペリオ 治療後の写真
症例1 c308 ペリオ 治療後の写真

29歳

治療期間
3年
担当医
立木先生
担当歯科衛生士

Kさん

リスク・副作用
・治療中・治療後に歯ぐきから出血や痛みを伴うことがあります。
・一時的に知覚過敏(しみる症状)が出ることがあります。
・治療後、歯ぐきが引き締まることで「歯が長くなったように見える」ことがあります。
・歯の動揺が一時的に強く感じられることがあります。
・セルフケア(歯磨き)や定期的なメンテナンスが不十分だと、再発のリスクがあります。
治療内容・コメント
SRPとセルフケアの向上で改善。SRPだけでは歯周病は改善しないので患者様の協力があり改善が見られた。日頃の歯磨きがかなり改善されたことで歯肉の出血がかなり減り炎症が治った上で、視野の確保がしやすくなりSRPも正確な治療が行えた。
その後も定期的にメインテナンスを行い患者様と協力し再発予防に努めています。

症例3ペリオ

治療前

症例3 ペリオ 治療前の写真

治療後

症例3 ペリオ 治療後の写真

治療前

症例3 ペリオ 治療前の写真

治療後

症例3 ペリオ 治療後の写真

60歳

治療期間
8か月
担当医
立木先生
担当歯科衛生士

Kさん

リスク・副作用
・治療中・治療後に歯ぐきから出血や痛みを伴うことがあります。
・一時的に知覚過敏(しみる症状)が出ることがあります。
・治療後、歯ぐきが引き締まることで「歯が長くなったように見える」ことがあります。
・歯の動揺が一時的に強く感じられることがあります。
・セルフケア(歯磨き)や定期的なメンテナンスが不十分だと、再発のリスクがあります。
治療内容・コメント
セルフケアで歯間清掃をしっかり行っていただきました。
(サイズは S→L)とすき間に合わせて変更してもらいました。
継続的なメンテナンスの重要性をご説明させていただき、医院のメンテナンスとホームケアのどちらも頑張ってケアを続けていただきました。

症例4ペリオ

治療前

症例4 ペリオ 治療前の写真

治療後

症例4 ペリオ 治療後の写真

治療前

症例4 ペリオ 治療前の写真

治療後

症例4 ペリオ 治療後の写真

治療前

症例4 ペリオ 治療前の写真

治療後

症例4 ペリオ 治療後の写真

50歳

治療期間
3年
担当医
立木先生
担当歯科衛生士

Kさん

リスク・副作用
・治療中・治療後に歯ぐきから出血や痛みを伴うことがあります。
・一時的に知覚過敏(しみる症状)が出ることがあります。
・治療後、歯ぐきが引き締まることで「歯が長くなったように見える」ことがあります。
・歯の動揺が一時的に強く感じられることがあります。
・セルフケア(歯磨き)や定期的なメンテナンスが不十分だと、再発のリスクがあります。
治療内容・コメント
SRPとセルフケア改善、歯周外科治療を行い治癒した。
SRPではアプローチできない深いポケットがあり歯周外科処置を行った。セルフケアが安定していないと術後の感染や治りが悪いが患者様のブラッシングがかなり改善、向上して歯周外科処置が行えた。その後も定期的なメインテナンスを行い歯肉の状態は継続で良好です。

症例5ペリオ

治療前

症例5 ペリオ 治療前の写真
症例1 ペリオ 治療前の写真
症例1 ペリオ 治療前の写真

治療後

症例1 c295 ペリオ 治療後の写真
症例1 c296 ペリオ 治療後の写真
症例1 c301 ペリオ 治療後の写真

29歳

治療期間
3年
担当医
立木先生
担当歯科衛生士

Kさん

リスク・副作用
・治療中・治療後に歯ぐきから出血や痛みを伴うことがあります。
・一時的に知覚過敏(しみる症状)が出ることがあります。
・治療後、歯ぐきが引き締まることで「歯が長くなったように見える」ことがあります。
・歯の動揺が一時的に強く感じられることがあります。
・セルフケア(歯磨き)や定期的なメンテナンスが不十分だと、再発のリスクがあります。
治療内容・コメント
SRPとOHI(オーラル・ハイジーン・インストラクション)の治療を行いました。
患者様に合った清掃器具をご提案させていただき、セルフケアへのモチベーション維持の大切さをお伝えしました。正しいセルフケアと定期的なメンテナンスを継続することで、健康的な歯肉に改善されました。

症例6ペリオ

治療前

症例4 ペリオ 治療前の写真

治療後

症例4 ペリオ 治療後の写真

治療前

症例4 ペリオ 治療前の写真

治療後

症例4 ペリオ 治療後の写真

56歳

治療期間
3年
担当医
立木先生
担当歯科衛生士

Kさん

リスク・副作用
・治療中・治療後に歯ぐきから出血や痛みを伴うことがあります。
・一時的に知覚過敏(しみる症状)が出ることがあります。
・治療後、歯ぐきが引き締まることで「歯が長くなったように見える」ことがあります。
・歯の動揺が一時的に強く感じられることがあります。
・セルフケア(歯磨き)や定期的なメンテナンスが不十分だと、再発のリスクがあります。
治療内容・コメント
SRPを行った後、患者様ご自身が歯ブラシだけでなく、タフトブラシ・フロス・歯間ブラシも継続して使用するようになったことで、大きく改善が見られました。
定期的にメンテナンスにも通院していただき、毎回の染め出しによるTB1を継続した結果、出血の数値も大きく改善し、良好な状態を維持できています。

ホワイトニング

症例1オフィスホワイトニング

上下顎5~5(4欠損) 治療前

症例1 ハイブリットセラミックインレー 治療前の写真

上下顎5~5(4欠損) 治療後

症例1 ハイブリットセラミックインレー 治療後の写真

23歳 女性

治療内容
当院にてオフィスホワイトニングを行い、短時間で自然な白さを目指しました。
治療期間
1本2~3週間
費用
自費 オフィスホワイトニング:38,500円(税込)(R6.6月時点)
  • その他の治療の費用は含まれておりません。
リスク・副作用
・一時的に知覚過敏が出ることがあります。
・薬剤によって歯肉が白くなることがありますが、通常は数時間〜数日で回復します。
・人工の歯(セラミック・詰め物など)は白くなりません。
・歯の質や生活習慣により、効果の出方や持続期間には個人差があります。
・妊娠中・授乳中の方、無カタラーゼ症の方には施術できません。
・施術当日は色の濃い飲食物(コーヒー・カレーなど)を避ける必要があります。
担当医
吉田院長